본문 바로가기

팝업레이어 알림

팝업레이어 알림이 없습니다.

INTERNATIONAL MORE

毕业于首尔大学牙科学院 综合牙科专科医生
一对一负责诊疗

国际摩牙齿科由院长亲自从头到尾负责诊疗, 承诺为每一位患者提供真诚细致的治疗服务。

INTERNATIONAL MORE

对麻醉用心的牙科 减轻疼痛的舒适诊疗

为了让患者从麻醉开始就不感到疼痛, 我们提供细致的麻醉及舒适的诊疗体验。

INTERNATIONAL MORE

跨越语言的界限 可提供中文诊疗的国际牙科

院内常驻中文翻译人员, 外国患者也能无障碍沟通,安心就诊。

全程负责的

医疗团队介绍

李英范 院长

李英范 院长

  • 毕业于首尔大学牙科学院
  • 毕业于首尔大学牙医学研究生院
  • 韩国保健福祉部认证 综合牙科专科医师
  • 毕业于多伦多大学
  • 完成Osstem 大师 课程
  • 完成第5期Minish学院课程

" 院长亲自负责从头到尾的专责诊疗系统, 细心管理每一位患者的口腔健康状况。"

国际摩牙齿科诊疗理念

Simple is the Best

  • 💉

    疼痛缓解技术

  • 🦷

    精准诊断 / 高效治疗

  • 👨‍⚕️

    拒绝过度治疗,专注以患者为中心

国际摩牙齿科始终坚持 无痛麻醉,无痛治疗”的理念。
将复杂的情况简单化, 只为患者提供必要的治疗 。

以信任为核心的诊疗体系

为什么国际摩牙齿科与众不同?

我们'将 “患者的舒适感”作为一切诊疗的出发点。

  • 01

    首尔大学牙科学院出身

    牙科专科医生一对一负责诊疗 毕业于首尔大学牙科学院的专科医生, 从治疗开始到结束,全程负责诊疗。

  • 02

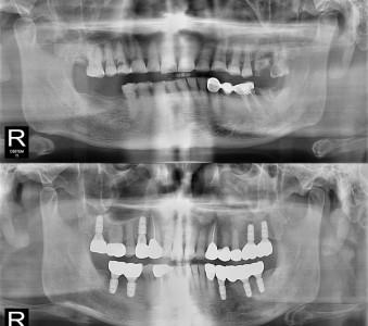
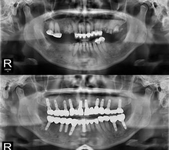
    使用奥齿泰(Osstem) 种植体 高级 BA 等级

    即使是同为奥齿泰,等级也有所不同。 为了实现更快、更稳定的骨结合,我们采用高级等级的种植体。

  • 03

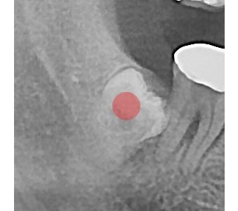
    高精度治疗的起点 数码 精密诊断系统

    基于3D数字数据, 实现更高准确性与精密度的治疗。

  • 04

    一站式治疗所有科目 ! 综合牙科专科医生 全面诊疗

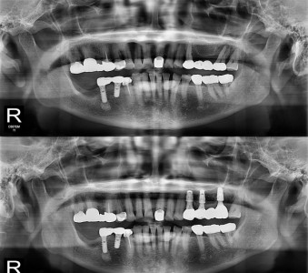
    综合牙科专科医生全程坐诊 提供种植牙、矫正、修复、美学、龋齿、儿童牙科等 全项目一站式综合诊疗服务。

  • 05

    跨越语言障碍 提供中文诊疗服务

    院内常驻中文翻译人员, 确保沟通顺畅,诊疗安心舒适。

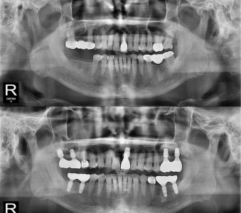
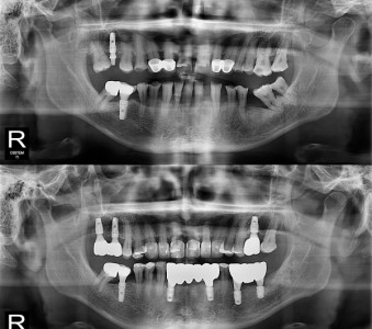
以成果证明实力。

国际摩牙齿科
真实临床案例

治疗案例더보기
  • 게시물이 없습니다.
治疗案例더보기
  • 게시물이 없습니다.
治疗案例더보기
治疗案例더보기
  • 게시물이 없습니다.
治疗案例더보기

INTERNATIONAL MORE

诊所环境

位于 地铁大林站正前方!

交通 / 就诊时间

首尔市永登浦区道林路157号 大林站10号出口 Daiso大楼7层

电话咨询

02-832-8886

咨询与预约

就诊时间

  • 平         日 上午 09:00 ~ 下午 06:00
  • 日   期   四 上午 09:00 ~ 下午 08:00
  • 星   期   六 上午 09:00 ~ 下午 01:00
  • 午 休 时 间 下午 12:30 ~ 下午 02:00

※ 星期六无午休照常营业。
※ 星期日及法定节假日休诊。