본문 바로가기
医疗团队介绍
牙科介绍
本院特色
临床案例
环境参观
诊疗时间 / 来院路线
治疗案例
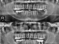
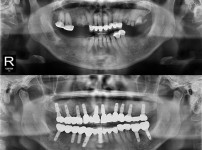
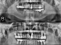
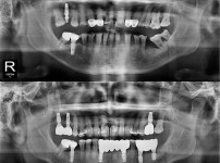
治疗案例
카테고리
전체
种植牙
牙齿美容修复
义齿
智齿拔除
龋齿治疗 根管治疗
18
智齿拔除
严重龋坏的智齿
조회
125
작성일
25-12-19
17
智齿拔除
完全埋伏智齿
조회
117
작성일
25-12-19
16
智齿拔除
完全埋伏智齿
조회
125
작성일
25-12-19
15
智齿拔除
严重龋坏的智齿
조회
111
작성일
25-12-19
14
智齿拔除
部分埋伏智齿
조회
125
작성일
25-12-19
13
智齿拔除
完全埋伏智齿
조회
121
작성일
25-12-19
12
智齿拔除
严重龋坏的智齿
조회
109
작성일
25-12-19
11
智齿拔除
部分埋伏智齿
조회
114
작성일
25-12-19
10
智齿拔除
完全埋伏智齿
조회
118
작성일
25-12-19
9
智齿拔除
部分埋伏智齿
조회
116
작성일
25-12-19
8
种植牙
全口种植牙
조회
113
작성일
25-12-19
7
种植牙
全口种植牙
조회
112
작성일
25-12-19
6
种植牙
全口种植牙
조회
115
작성일
25-12-19
5
种植牙
局部种植牙
조회
116
작성일
25-12-19
4
种植牙
局部种植牙
조회
106
작성일
25-12-19
열린
1
페이지
2
페이지
맨끝
게시물 검색
검색대상
제목
내용
제목+내용
회원아이디
회원아이디(코)
글쓴이
글쓴이(코)
검색어
필수
검색
QUICK MENU
Naver在线预约
博客
Kakao在线咨询
来院路线
返回顶部