본문 바로가기

治疗案例

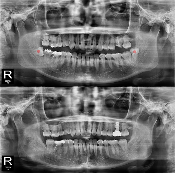
智齿拔除 部分埋伏智齿

페이지 정보

댓글0건 조회 114회 작성일25-12-19 13:46

본문

b047bd763797d0ee5fe0c71c12970e9f_1766119554_7661.jpg


b047bd763797d0ee5fe0c71c12970e9f_1766119554_741.jpg
 

댓글목록

등록된 댓글이 없습니다.