본문 바로가기
医疗团队介绍
牙科介绍
本院特色
临床案例
环境参观
诊疗时间 / 来院路线
治疗案例
治疗案例
카테고리
전체
种植牙
牙齿美容修复
义齿
智齿拔除
龋齿治疗 根管治疗
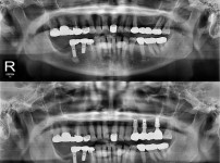
3
种植牙
局部种植牙
조회
103
작성일
25-12-19
2
种植牙
局部种植牙
조회
88
작성일
25-12-19
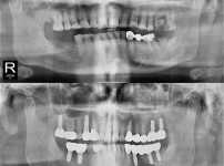
1
种植牙
全口种植牙
조회
89
작성일
25-12-19
처음
1
페이지
열린
2
페이지
게시물 검색
검색대상
제목
내용
제목+내용
회원아이디
회원아이디(코)
글쓴이
글쓴이(코)
검색어
필수
검색
QUICK MENU
Naver在线预约
博客
Kakao在线咨询
来院路线
返回顶部