본문 바로가기
医疗团队介绍
牙科介绍
本院特色
临床案例
环境参观
诊疗时间 / 来院路线
治疗案例
治疗案例
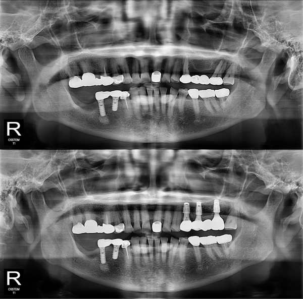
种植牙
局部种植牙
페이지 정보
댓글
0건
조회
103회
작성일
25-12-19 13:41
본문
목록
COMMENTS
댓글목록
등록된 댓글이 없습니다.
QUICK MENU
Naver在线预约
博客
Kakao在线咨询
来院路线
返回顶部