본문 바로가기

임상증례

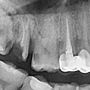
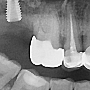
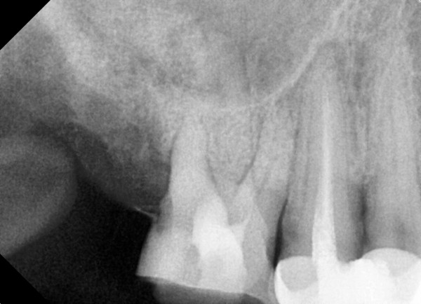
충치치료&신경치료 하루에 끝나는 신경치료

페이지 정보

댓글0건 조회 659회 작성일26-01-02 17:35

본문

ab84f1a97a55df0651436bf31adcdd0f_1767396700_1373.jpg
ab84f1a97a55df0651436bf31adcdd0f_1767396700_1056.jpg
 

60bab75a1a70db4a6fd0ef2b4df1f9ae_1767342917_5257.jpg
 

댓글목록

등록된 댓글이 없습니다.