본문 바로가기

임상증례

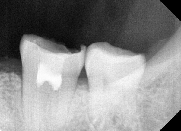
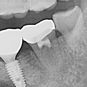
충치치료&신경치료 하루에 끝나는 신경치료

페이지 정보

댓글0건 조회 568회 작성일26-01-02 15:12

본문

ab84f1a97a55df0651436bf31adcdd0f_1767396742_2926.jpg
ab84f1a97a55df0651436bf31adcdd0f_1767396742_2725.jpg 


c36d6f431fa4d39e6efca10cb66686a2_1767334359_1857.jpg
 

댓글목록

등록된 댓글이 없습니다.