본문 바로가기

임상증례

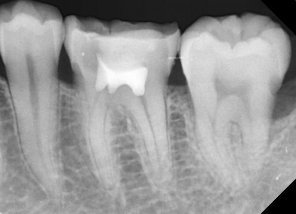
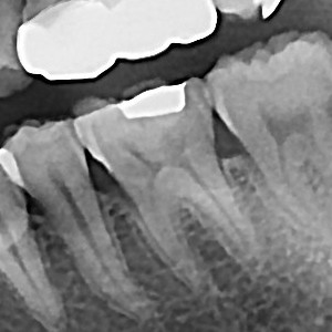
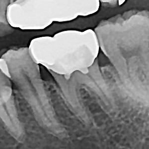
충치치료&신경치료 하루에 끝나는 신경치료

페이지 정보

댓글0건 조회 567회 작성일26-01-02 13:44

본문

60bab75a1a70db4a6fd0ef2b4df1f9ae_1767345003_6216.jpg
60bab75a1a70db4a6fd0ef2b4df1f9ae_1767345003_5941.jpg 


c36d6f431fa4d39e6efca10cb66686a2_1767329043_0796.jpg
 

댓글목록

등록된 댓글이 없습니다.