본문 바로가기
의료진소개
치과소개
특별함
임상증례
둘러보기
진료시간/오시는 길
임상증례
임상증례
충치치료&신경치료
전체
임플란트
심미보철
틀니
사랑니발치
충치치료&신경치료
6
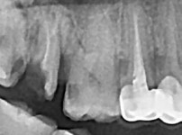
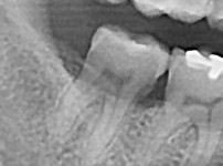
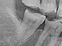
충치치료&신경치료
하루에 끝나는 신경치료
조회
657
작성일
26-01-02
5
충치치료&신경치료
하루에 끝나는 신경치료
조회
568
작성일
26-01-02
4
충치치료&신경치료
하루에 끝나는 신경치료
조회
586
작성일
26-01-02
3
충치치료&신경치료
하루에 끝나는 신경치료
조회
585
작성일
26-01-02
2
충치치료&신경치료
하루에 끝나는 신경치료
조회
565
작성일
26-01-02
1
충치치료&신경치료
하루에 끝나는 신경치료
조회
575
작성일
26-01-02
목록
게시물 검색
검색대상
제목
내용
제목+내용
회원아이디
회원아이디(코)
글쓴이
글쓴이(코)
검색어
필수
검색
QUICK MENU
네이버 예약
블로그
카카오 상담
오시는 길
TOP