본문 바로가기

임상증례

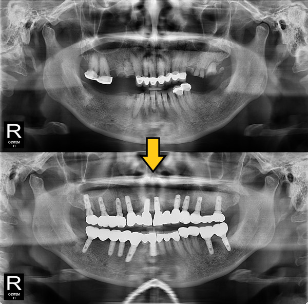
임플란트 전악 임플란트

페이지 정보

댓글0건 조회 725회 작성일25-12-04 20:10

본문

f5a756a40e7ccdf8d8e63ef21f3dfeda_1768106081_4767.jpg
 


f5a756a40e7ccdf8d8e63ef21f3dfeda_1768106087_2749.jpg 


댓글목록

등록된 댓글이 없습니다.