본문 바로가기

임상증례

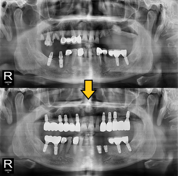
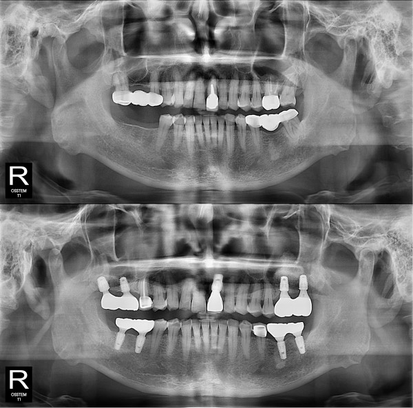
임플란트 전악 임플란트

페이지 정보

댓글0건 조회 692회 작성일25-11-28 17:46

본문

f5a756a40e7ccdf8d8e63ef21f3dfeda_1768106858_3096.png



f5a756a40e7ccdf8d8e63ef21f3dfeda_1768106874_537.jpg
 

댓글목록

등록된 댓글이 없습니다.