본문 바로가기

임상증례

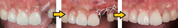
심미보철 앞니 임플란트

페이지 정보

댓글0건 조회 541회 작성일26-01-17 22:12

본문

5a26f78ea9aa865fd734ae52502121e9_1768744112_0998.png
 


5a26f78ea9aa865fd734ae52502121e9_1768747839_1702.png
 

댓글목록

등록된 댓글이 없습니다.