본문 바로가기
의료진소개
치과소개
특별함
임상증례
둘러보기
진료시간/오시는 길
임상증례
임상증례
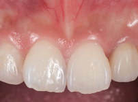
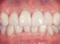
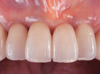
심미보철
전체
임플란트
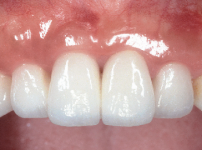
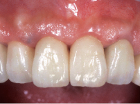
심미보철
틀니
사랑니발치
충치치료&신경치료
6
심미보철
전악보철
조회
516
작성일
26-01-20
5
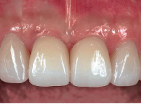
심미보철
앞니 크라운
조회
497
작성일
26-01-19
4
심미보철
앞니 임플란트
조회
529
작성일
26-01-17
3
심미보철
앞니 임플란트
조회
522
작성일
26-01-17
2
심미보철
앞니 임플란트
조회
540
작성일
26-01-17
1
심미보철
앞니 임플란트
조회
529
작성일
26-01-17
목록
게시물 검색
검색대상
제목
내용
제목+내용
회원아이디
회원아이디(코)
글쓴이
글쓴이(코)
검색어
필수
검색
QUICK MENU
네이버 예약
블로그
카카오 상담
오시는 길
TOP