본문 바로가기

임상증례

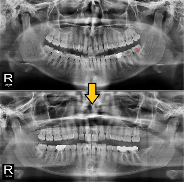
사랑니발치 충치가 심한 사랑니

페이지 정보

댓글0건 조회 684회 작성일25-12-03 12:10

본문

98c9148a81c37bd910ebd0e3dd27d654_1764731428_909.jpg


826e40416d712e6cd444a78bde93df4b_1767857111_4764.jpg
 

댓글목록

등록된 댓글이 없습니다.