본문 바로가기

임상증례

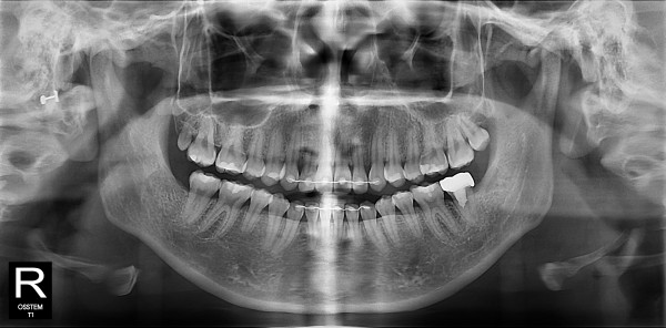
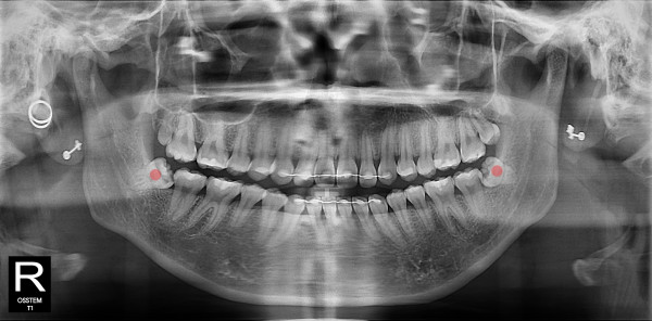
사랑니발치 10대/여성

페이지 정보

댓글0건 조회 19회 작성일25-11-28 17:51

본문

ae27575af29d49719312fde5a1f0cca6_1764401999_3547.jpg

5e20e086184bc11a2d853605b7813944_1764319875_2448.jpg
5e20e086184bc11a2d853605b7813944_1764319875_366.jpg

댓글목록

등록된 댓글이 없습니다.