본문 바로가기

임상증례

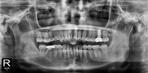
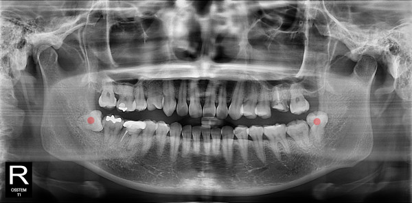
사랑니발치 20대/여성

페이지 정보

댓글0건 조회 20회 작성일25-11-28 17:49

본문

ae27575af29d49719312fde5a1f0cca6_1764402427_3314.jpg


5e20e086184bc11a2d853605b7813944_1764319752_9378.jpg
5e20e086184bc11a2d853605b7813944_1764319753_0737.jpg 

댓글목록

등록된 댓글이 없습니다.