본문 바로가기

임상증례

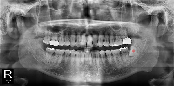
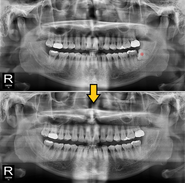
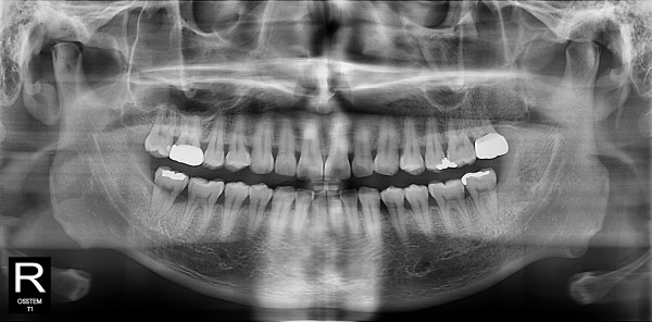
사랑니발치 20대/남성

페이지 정보

댓글0건 조회 20회 작성일25-11-28 17:49

본문

ae27575af29d49719312fde5a1f0cca6_1764402576_9324.jpg


5e20e086184bc11a2d853605b7813944_1764319730_9574.jpg
5e20e086184bc11a2d853605b7813944_1764319731_1428.jpg 

댓글목록

등록된 댓글이 없습니다.